Con más de 40 años de experiencia en la Ciudad de México, somos un consultorio dental especializado en brindar atención integral y personalizada a cada uno de nuestros pacientes.
Nuestro objetivo es mejorar la salud, la función y la estética bucal mediante planes de tratamiento completos, diseñados a la medida de las necesidades de cada persona.
En Prótesis Integral trabajamos con equipos de última tecnología: radiología digital, impresiones digitales, implantología moderna y laboratorios con CAD/CAM. Todo ello nos permite ofrecer soluciones duraderas, precisas y estéticas en un entorno de confianza, seguridad y calidez humana.
Atención integral con tratamientos especializados.
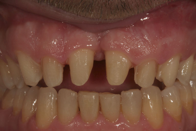
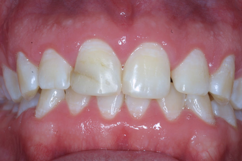
Proceso fundamental y exhaustivo que realiza el odontólogo para identificar la condición de la cavidad oral e identificar tanto zonas que esten sanas como aquellas que no lo son y buscar la causa de cualquier enfermedad o anomalía en la cavidad oral. No se limita a buscar caries, sino que ofrece una evaluación integral que sirve de base para diseñar un plan de tratamiento adecuado, efectivo y personalizado.
Secuencia de procedimientos que el profesional de la salud propone al paciente para tratar o controlar una enfermedad o condición específica. Es una guía estratégica que transforma el diagnóstico en acciones terapéuticas para alcanzar un objetivo de salud predefinido.
Conocida como limpieza dental profesional, es un procedimiento preventivo que se realiza con el objetivo de eliminar la placa bacteriana, el sarro y las manchas superficiales que se acumulan en los dientes y debajo de la línea de las encías, y que no pueden eliminarse con el cepillado ni el uso de hilo dental en casa.
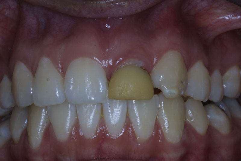
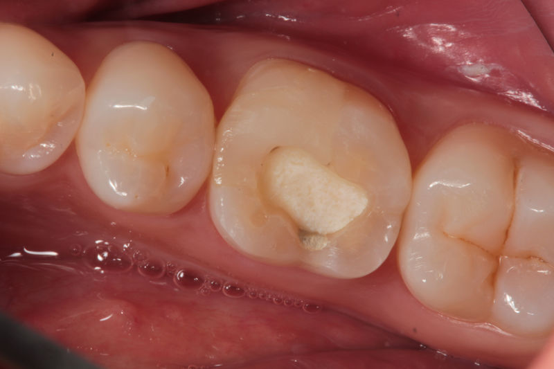
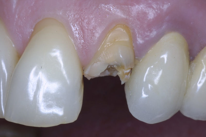
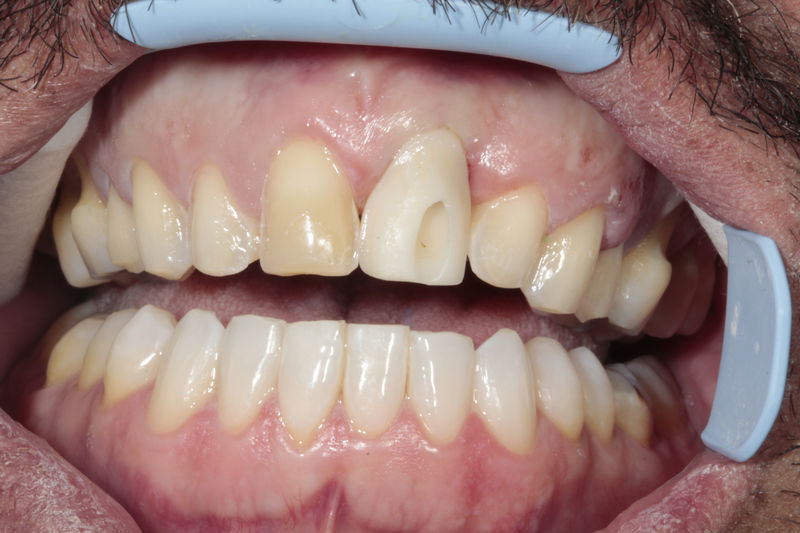
Disciplina fundamental de la Odontología enfocada en el diagnóstico, prevención y tratamiento restaurador de las piezas dentales que han sufrido daños. Su objetivo principal es devolver al diente su equilibrio biológico, funcional y estético cuando su integridad ha sido alterada. Resinas directas, incrustaciones, coronas.
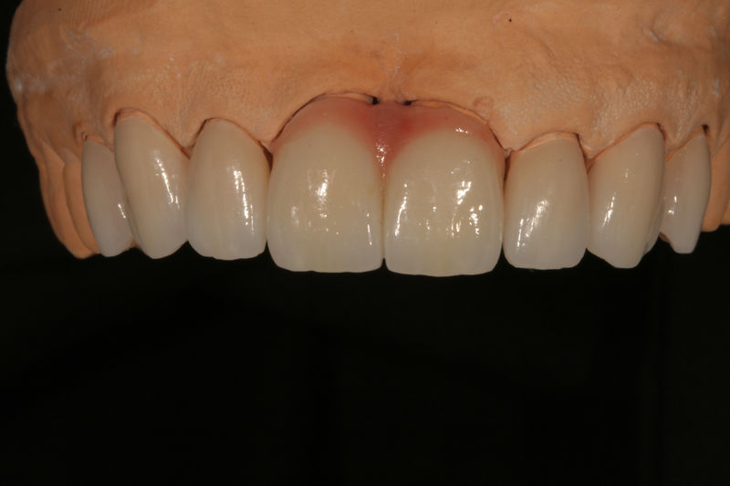
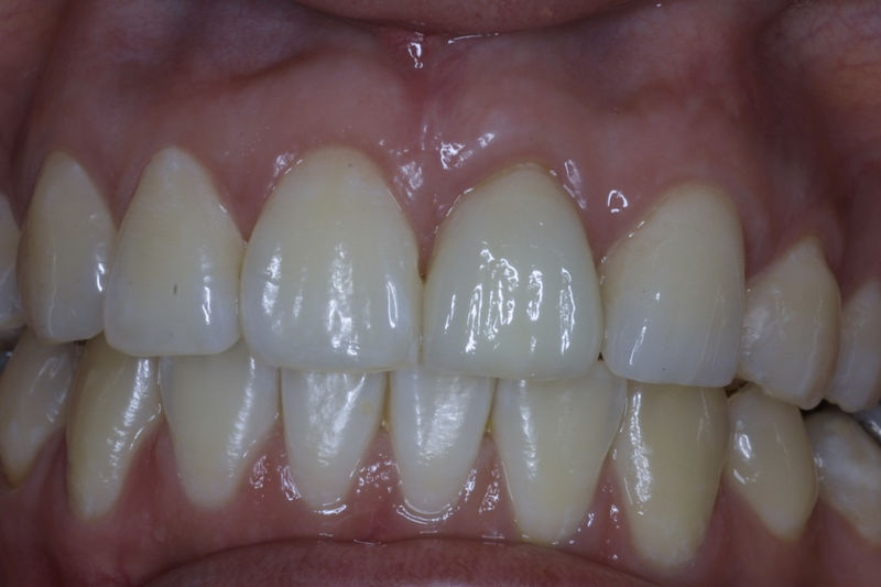
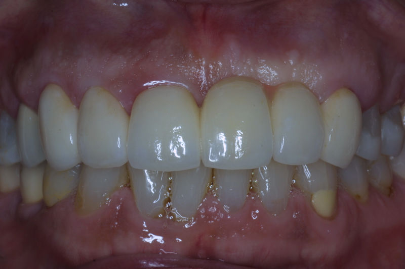
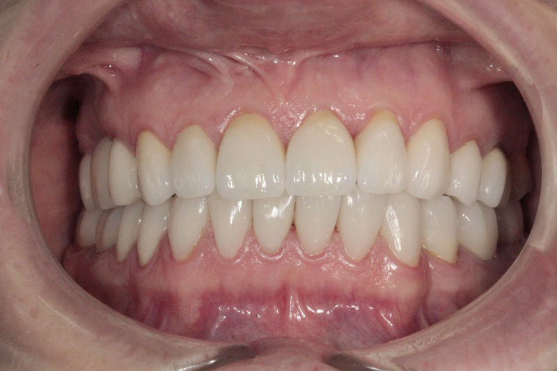
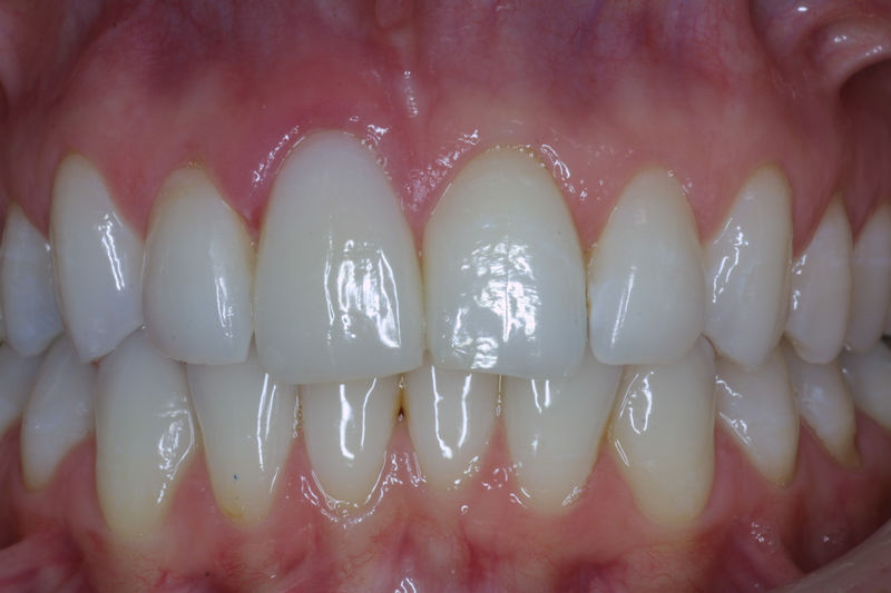
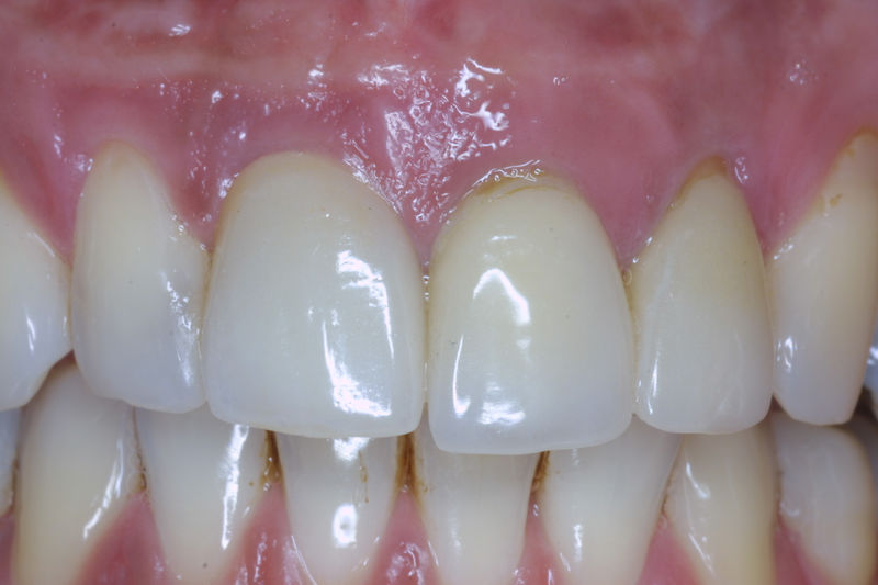
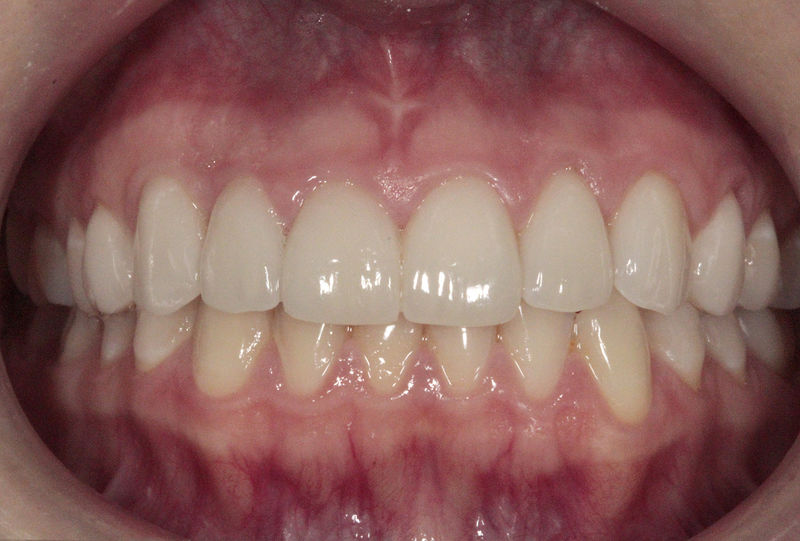
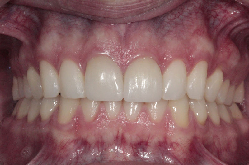
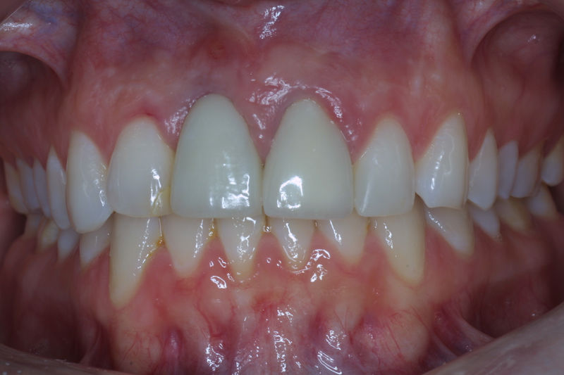
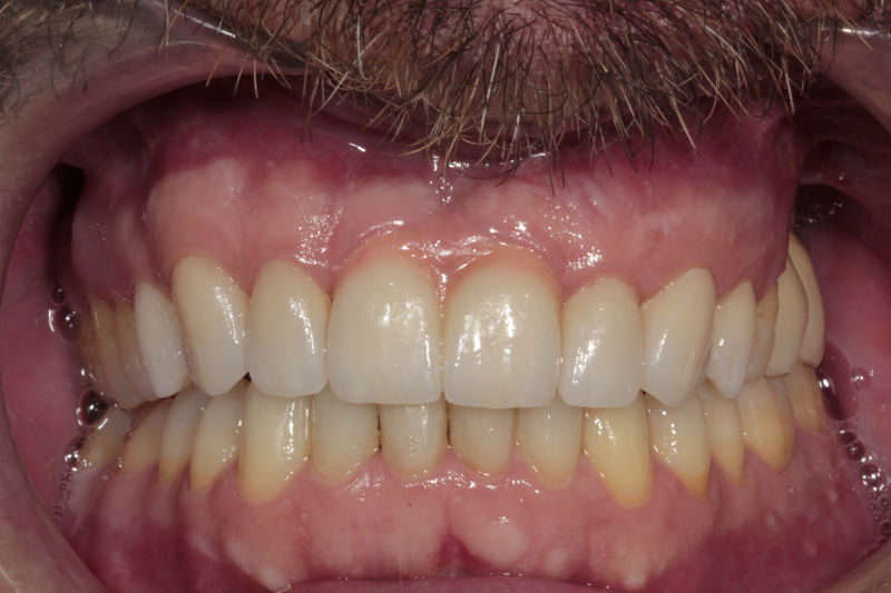
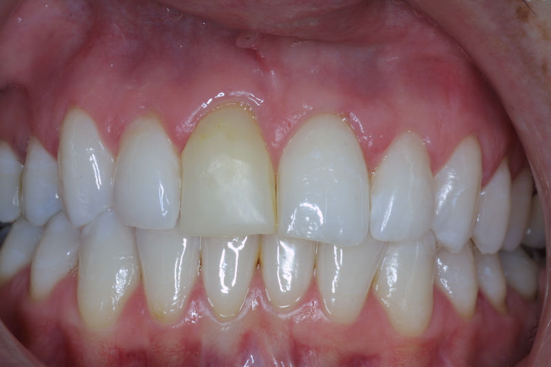
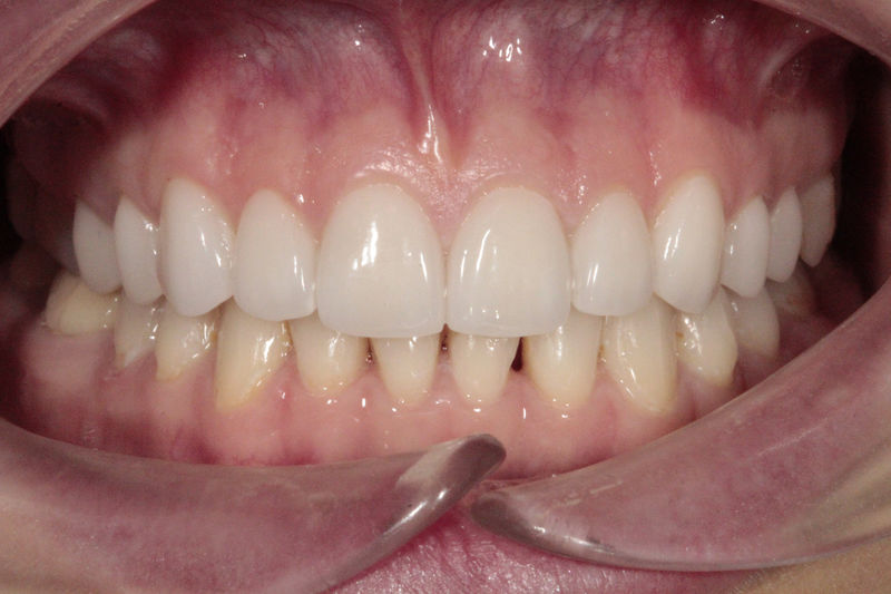
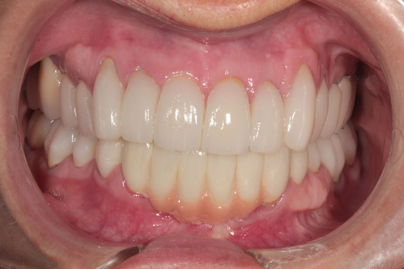
Amplia gama de tratamientos para mejorar la apariencia de la sonrisa, corrigiendo el color, la forma, el tamaño, la alineación y la posición de los dientes. Los procedimientos más comunes y solicitados incluyen el blanqueamiento dental, las carillas y coronas, así como las resinas.
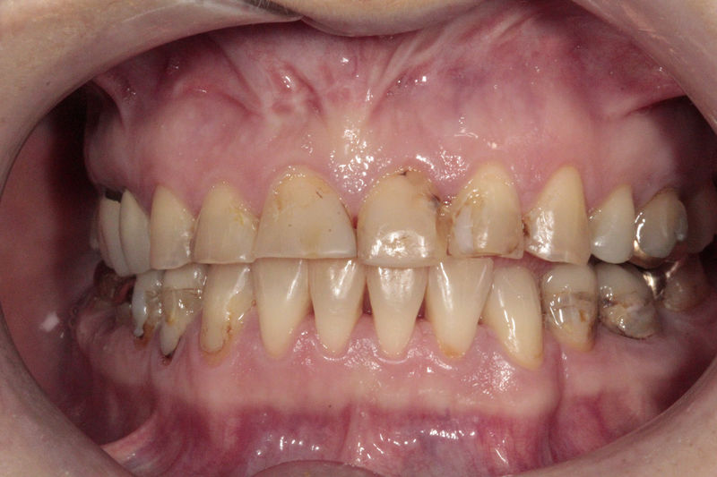
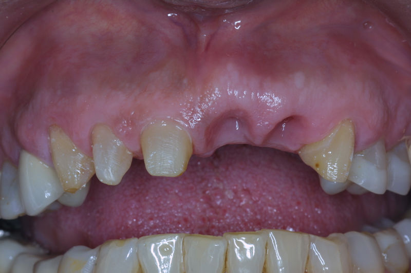
Las prótesis dentales son aparatos o dispositivos que se utilizan para reemplazar los dientes ausentes y las estructuras orales relacionadas.
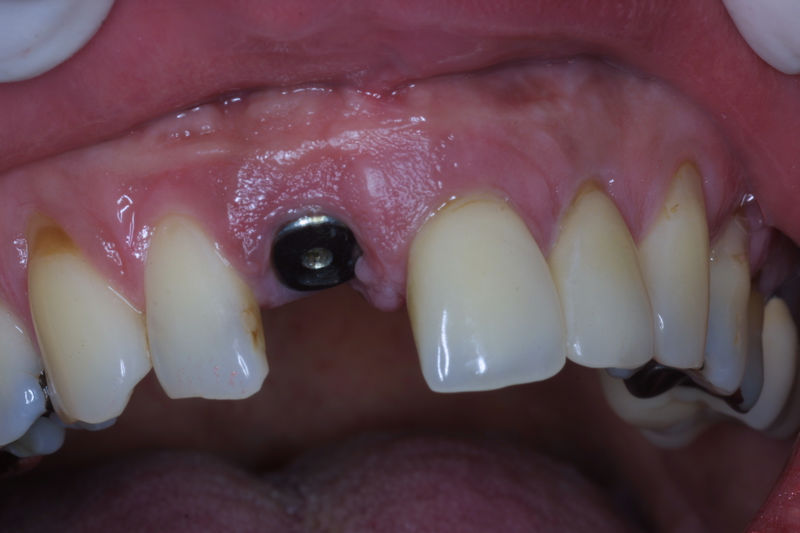
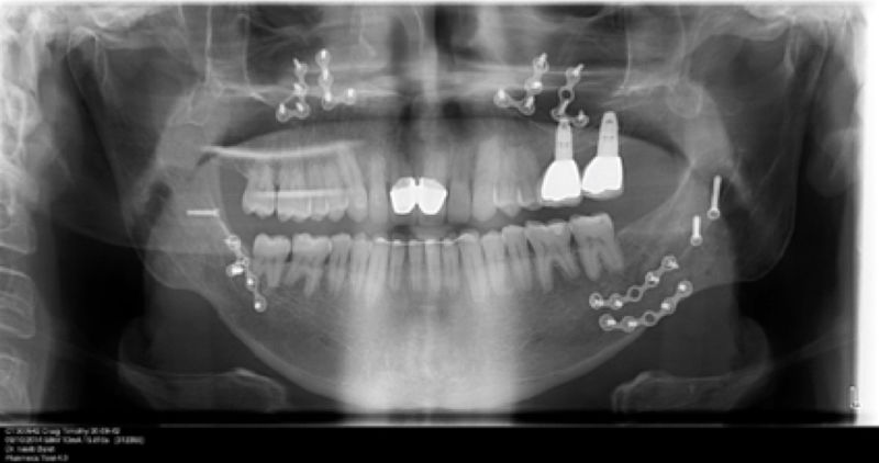
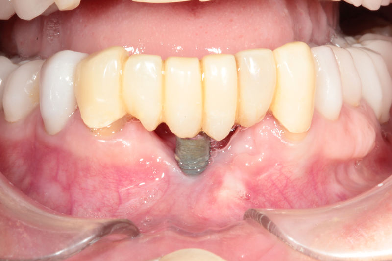
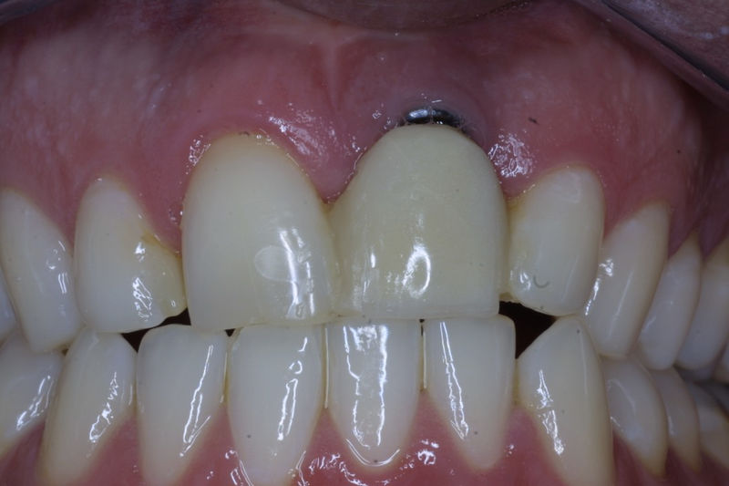
Los implantes dentales son pequeños tornillos de titanio u otro material biocompatible que se insertan en el hueso maxilar o mandibular para sustituir la raíz de un diente perdido. Actuando como un soporte sólido sobre el cual el dentista puede colocar un diente artificial (corona), un puente o una prótesis completa.
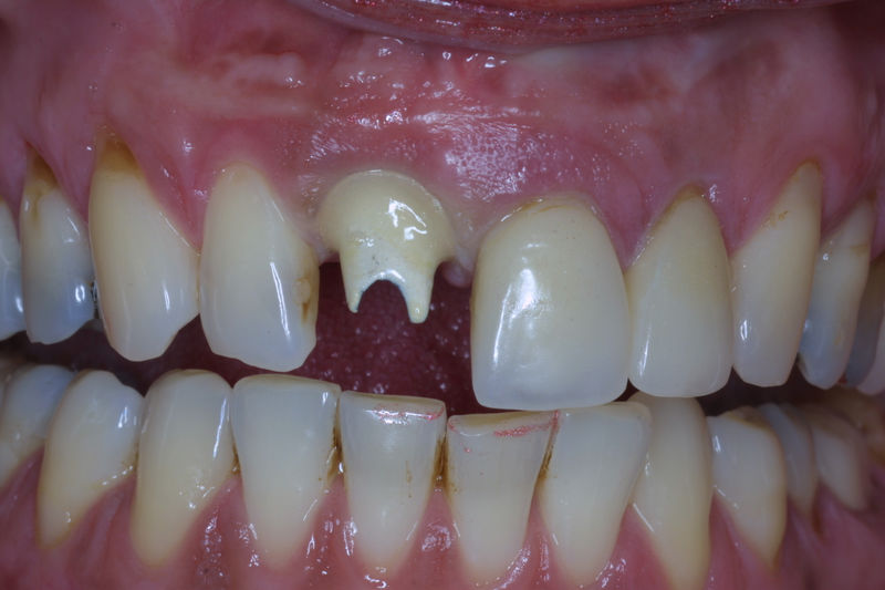
La restauración de un diente tras una endodoncia, es crucial para su supervivencia a largo plazo, ya que el procedimiento puede debilitar la estructura dental. El tipo de restauración elegido depende principalmente de la cantidad de estructura dental remanente después de la endodoncia. Principalmente se usan incrustaciones, coronas y/o postes.
Contamos con un equipo de profesionales y personal de apoyo que labora con compromiso y excelencia.
Graduado de la Universidad Tecnológica de México, con posgrado en Odontología Restaurativa en la Universidad de Missouri-Kansas City. Profesor en la Universidad Tecnológica de México y en la Universidad Nova Southeastern. Autor y coautor de diversas publicaciones.
Graduado de la Universidad Tecnológica de México, con posgrado en Prótesis e Implantes en Nova Southeastern University. Profesor de pregrado y posgrado en la Universidad Tecnológica de México. Autor de diversos artículos.
Graduado de la Universidad Tecnológica de México, con posgrado en Prótesis Avanzada y Rehabilitación Bucal en Nova Southeastern University. Autor de diversos artículos.
Contáctenos para información o citas.
Paseo de las Palmas 830 - 101
Col. Lomas de Chapultepec, 11000 México, CDMX
55 5540-0919
55 5540-3600
55 5540-6655
55 7898-7840
Lunes a Miércoles: 9am - 5pm
Jueves y Viernes: 9am - 2pm
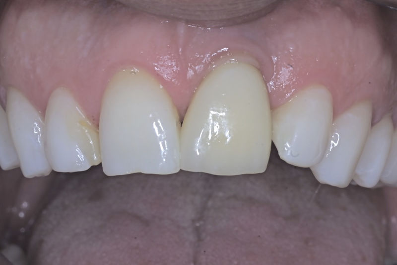
Son restauraciones que cubren toda la cara frontal del diente, generalmente empleadas en el sector anterior y cuya finalidad es primariamente estética.
Son restauraciones con materiales plásticos color diente usados primariamente en dientes con caries pequeñas y puestas directamente en el diente.
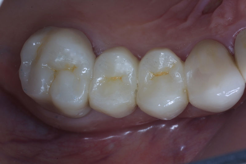
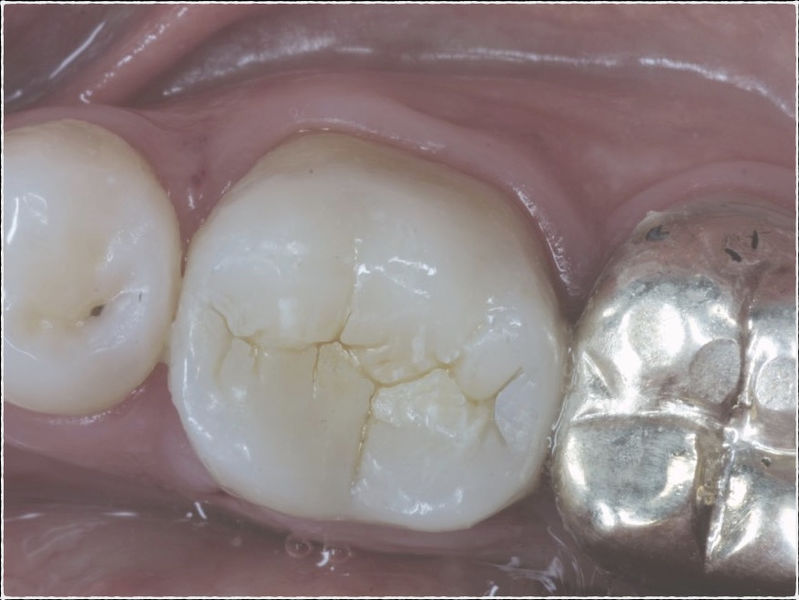
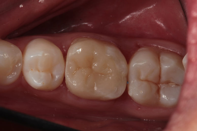
Restauraciones fabricadas en el laboratorio con materiales estéticos, los cuales cubren de manera parcial dientes posteriores. Se utilizan primariamente para restaurar dientes con caries, fracturas y/o defectos amplios. Para poder enviar el caso al laboratorio se toman impresiones utilizando materiales de impresión o técnicas modernas digitales.
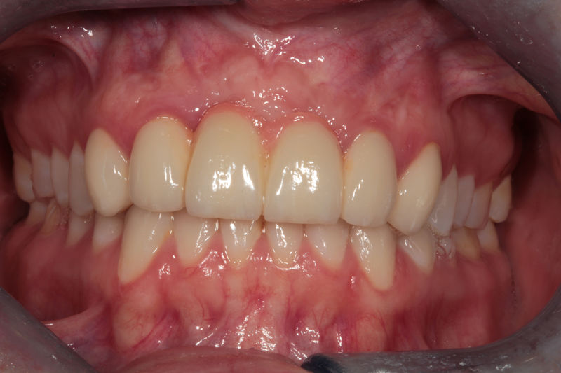
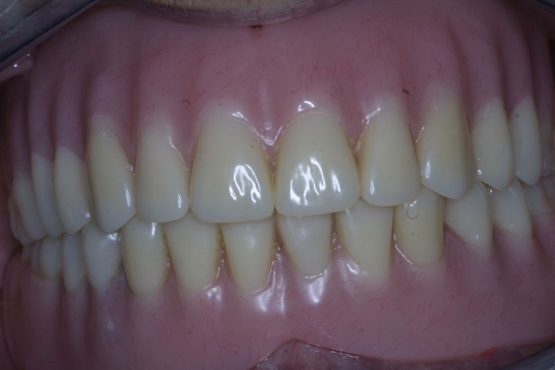
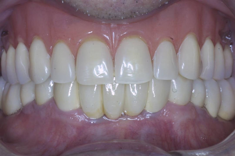
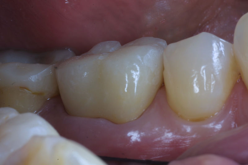
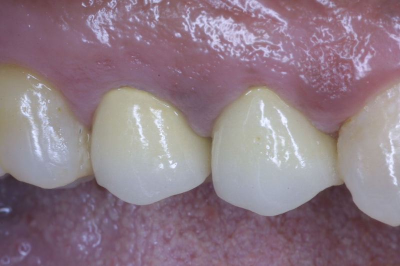
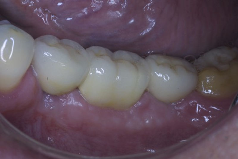
Restauraciones fabricadas en el laboratorio con materiales estéticos, los cuales cubren de manera total dientes anteriores y posteriores. Se utilizan primariamente para restaurar dientes con caries, fracturas y/o defectos amplios, así como soportes de puentes. Para poder enviar el caso al laboratorio se toman impresiones utilizando materiales de impresión o técnicas modernas digitales.
Restauraciones fabricadas en el laboratorio con materiales estéticos, los cuales se usan para reemplazar dientes ausentes usando coronas como soporte. Para poder enviar el caso al laboratorio se toman impresiones utilizando materiales de impresión o técnicas modernas digitales.
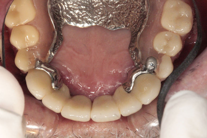
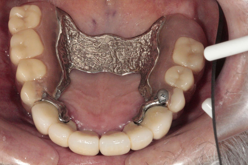
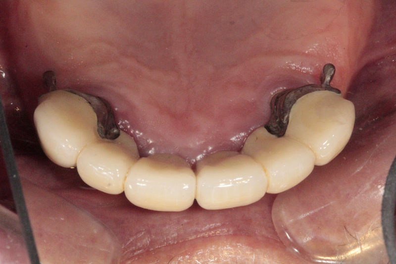
Restauraciones fabricadas en el laboratorio los cuales se usan para reemplazar dientes ausentes usando dientes, coronas y/o tejidos blandos como soporte y que pueden y deben de ser removidas para su limpieza. Para poder enviar el caso al laboratorio se toman impresiones utilizando materiales de impresión o técnicas modernas digitales.
Restauraciones fabricadas en el laboratorio los cuales se usan para reemplazar dientes ausentes en toda una arcada usando implantes y/o tejidos blandos como soporte y que pueden y deben de ser removidas para su limpieza. Para poder enviar el caso al laboratorio se toman impresiones utilizando materiales de impresión o técnicas modernas digitales.
Son estructuras de titanio las cuales se colocan en el hueso y se utilizan para soportar coronas, prótesis fijas, removibles y totales. La colocación de los implantes se hacen previo análisis tomográfico.
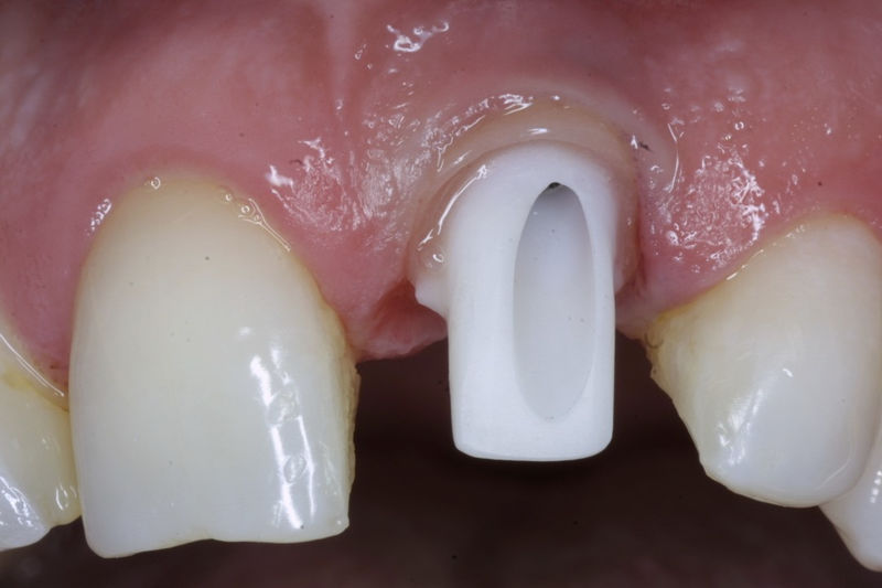
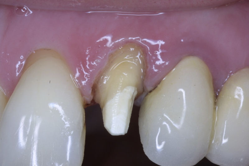
Son aditamentos artificiales colocados en la parte interna de la raíz de dientes con tratamiento endodóntico y con amplia destrucción. Usados comúnmente para soportar coronas completas.
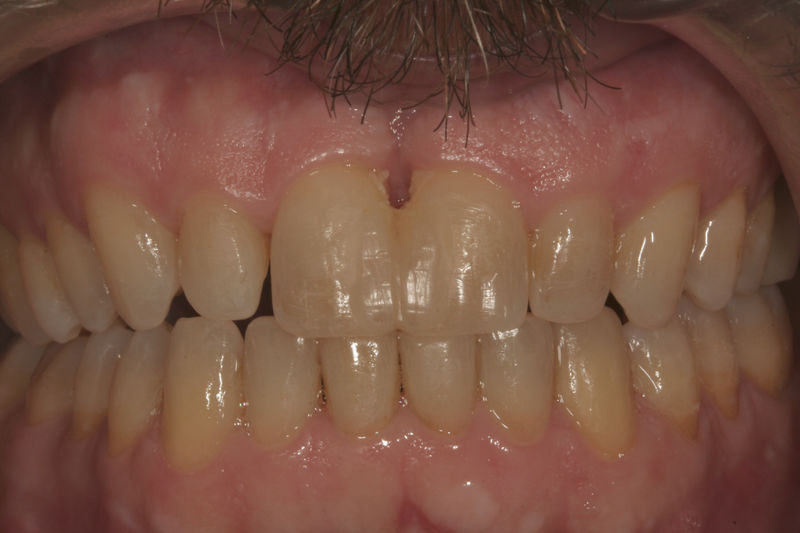
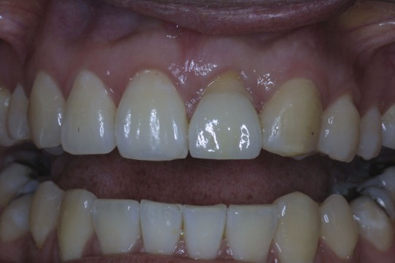
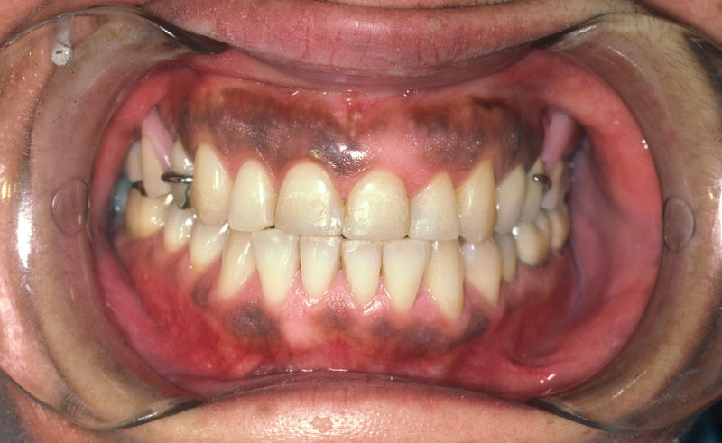
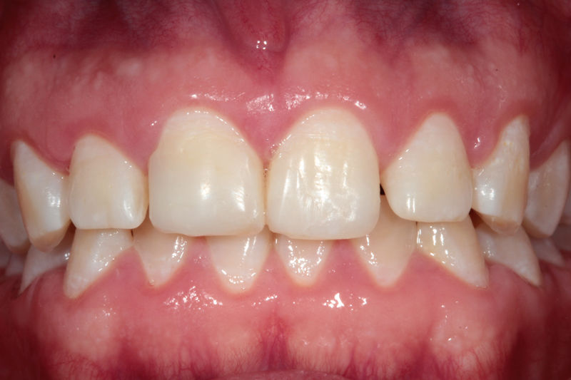
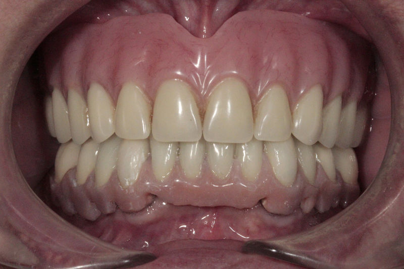
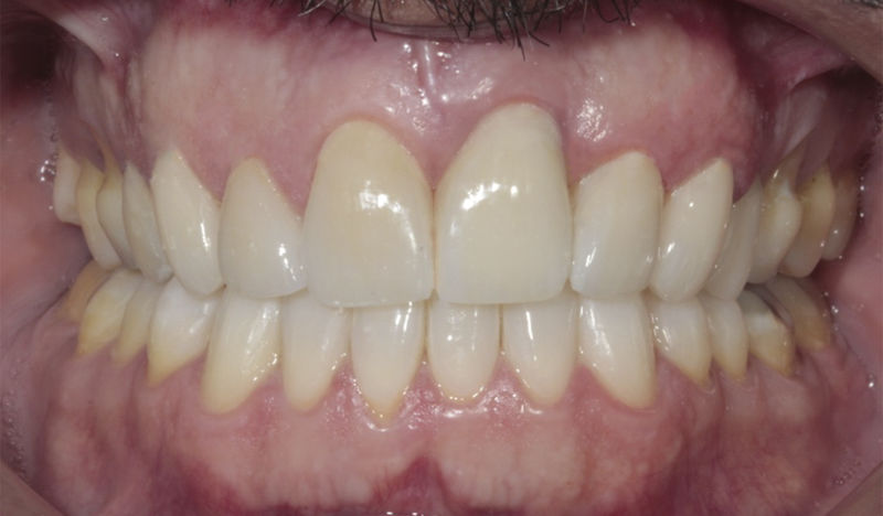
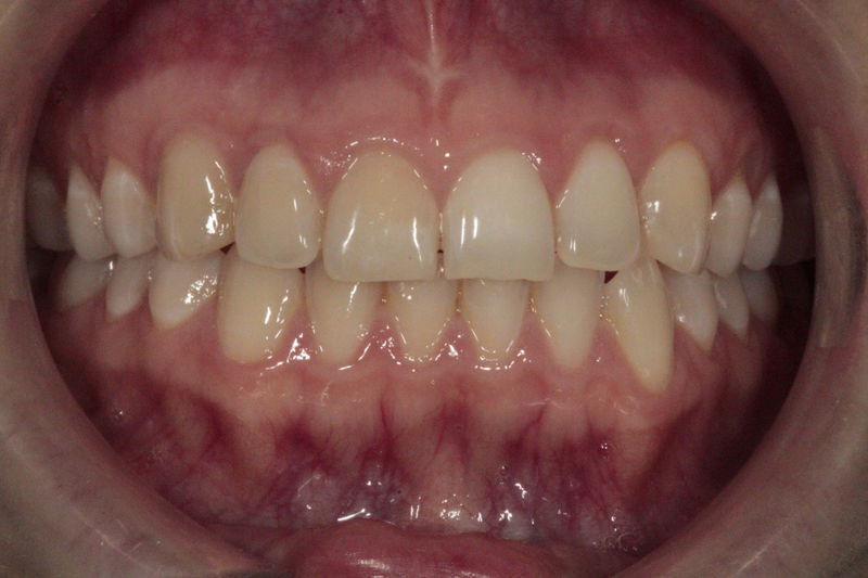
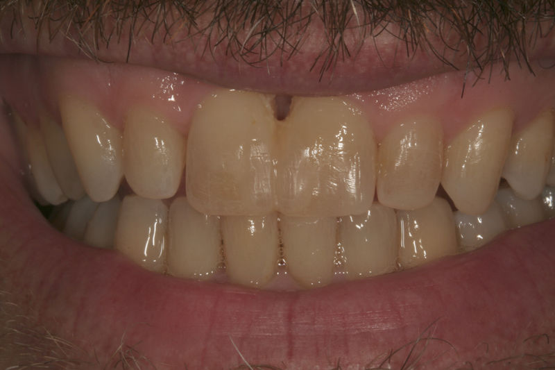
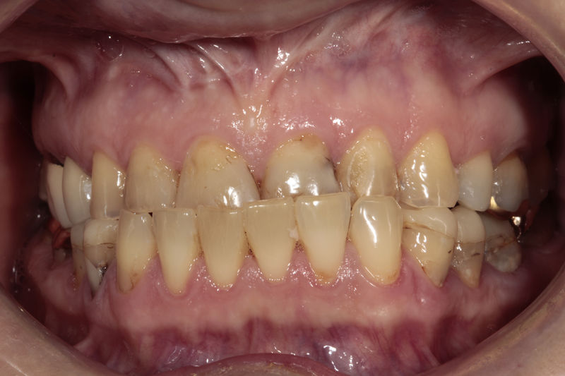
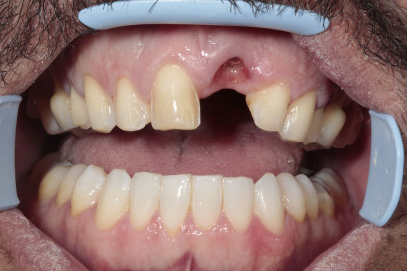
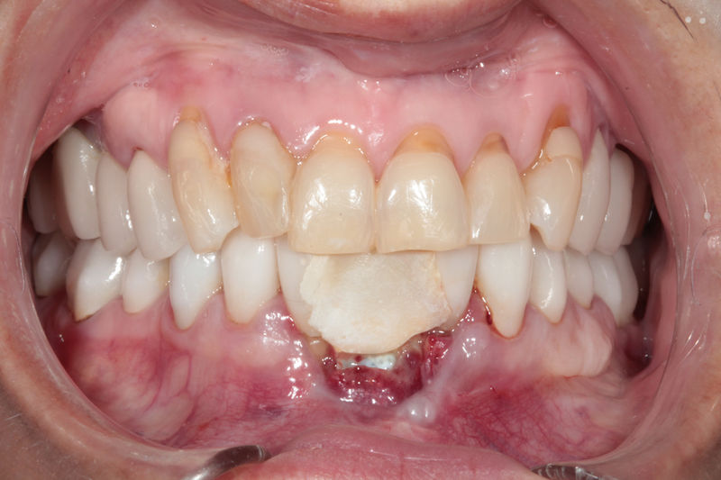
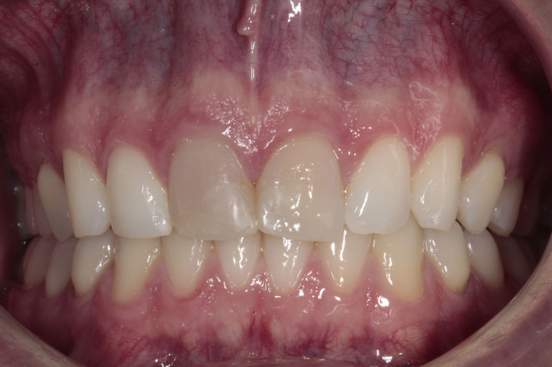
Implante fracasado, extracción, carillas, coronas y prótesis fija.
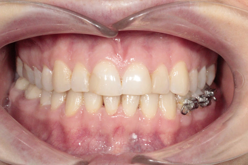
Implantes, ortodoncia y coronas.
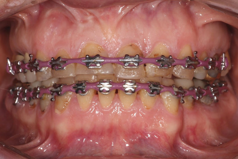
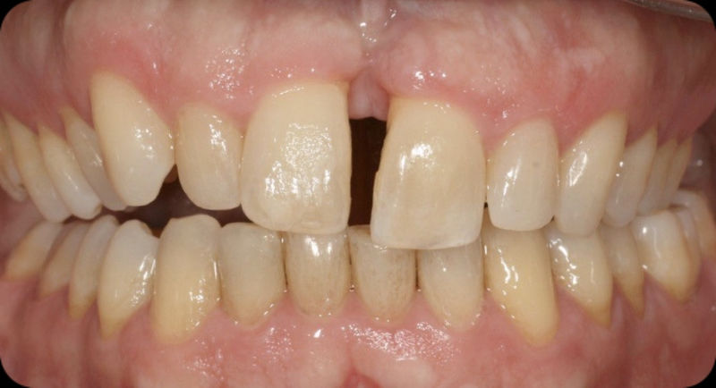
Ortodoncia y coronas.
Cirugía ortognática, implantes, carillas y coronas,